
一名36歲台積電工程師因長期於無塵室操作電機配備及電腦,右側持續性的肩膀及右前臂痠麻,更惡化到右手無力。檢查後是頸椎第4節至第6節椎間盤突出造成第4節至第6節右側神經根以及脊隨壓迫。在接受微創頸椎第4節至第6節人工頸椎間盤置換後,術後6小時下床活動,手術後24小時出院,手術後第3天回到無塵室的工作。於手術後3個月在高爾夫球場上揮桿自如。
椎間盤突出 造成神經根及脊隨壓迫
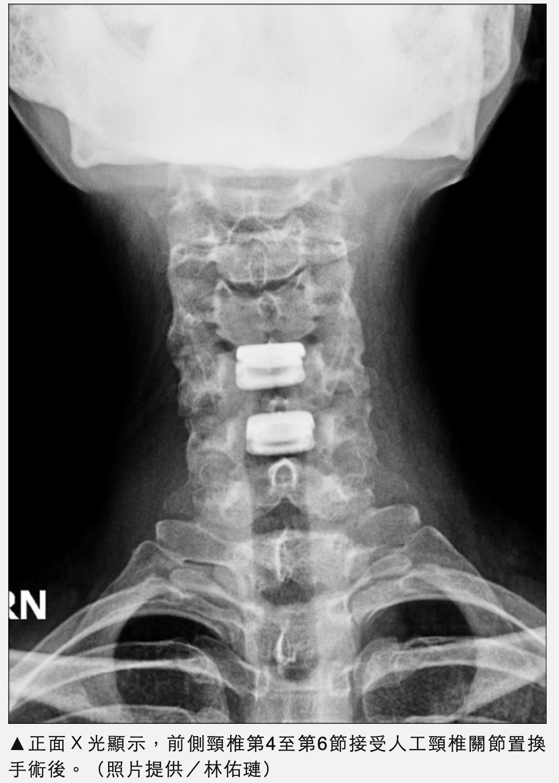
目前人工頸椎椎間盤有超過30年的發展,美國食品藥物管理局於2007年同意使用在人體上,於近幾年臨床實證手術後的追蹤,在頸椎活動度及鄰近節的退化問題優於傳統前側頸椎融合手術,日本也於2019年開始了人體試驗。由於人工頸椎椎間盤的高額單價,台灣健保署於2021年12月開始有條件地給付頸椎第4節至第6節人工頸椎間盤,一次手術申請一顆為人工頸椎椎間盤置換是將突出椎間盤移除,置換成人工椎間盤,能夠保持椎體間的高度,一併解除壓迫脊神經的椎間盤或骨刺。可動式人工椎間盤提供的活動角度(前後仰,及左右側彎各約8度,左右轉的角度則與健康脊椎相同),除了能夠貼近頸椎自然的活動角度並減緩了手術後鄰近節退化的程度。
臨床上,並不是每一個頸椎間盤突出都需要接受到人工頸椎間盤置換手術。治療是有階段性的,初期輕症著可以用藥物來緩解疼痛加上配合復健治療及改變不良姿勢都有不錯的效果。
經長期復健治療,神經阻斷或藥物治療無效之病人,才會考慮手術治療。
人工頸椎椎間盤置換手術,需要考慮到手術節段頸椎的穩定性,及造成神經壓迫的成因。倘若是嚴重的頸椎滑脫以及後縱韌帶骨化所造成的神經根及脊隨的壓迫,則不建議此類手術。平常頸椎的保養,如減少低頭滑手機的時間,保持正常的坐姿,舒適的睡姿,以及頸部肌肉放鬆都是能夠減緩頸椎的退化,降低頸椎疾患病發的機率。
